Tam kde jiní technici končí,
ten můj circus začíná
Dělám zuby protože mě to baví
Specializuji se na Branemarky, Hybridni třmeny, a všechny ostatní komplikované rekonstrukce převážně na implantatech.
Luboš Knížek dentailista a zubní technik

Co umím a na co kladu důraz
V DENTAL CIRCUS se specializuji na komplexní a komplikované zubní rekonstrukce, zejména na implantátech. Kde ostatní technici končí, tam můj cirkus začíná!
Moji prioritou je perfektní funkčnost s estetikou, které konkurenční laboratoře jen těžko překonávají.
Moje specializace:

Branemark Titan Zirkon

Branemark Titan Kompozitní zuby

Branemark Titan Pmma

Hybridní třmeny

Standardní konstrukce

Design
Zaujala vás moje práce?
Zavolejte a zeptejte se na možnosti spolupráce.
Typy prací
Branemarky a všechny možné kombinace zubů převážně kotvených na implantátech

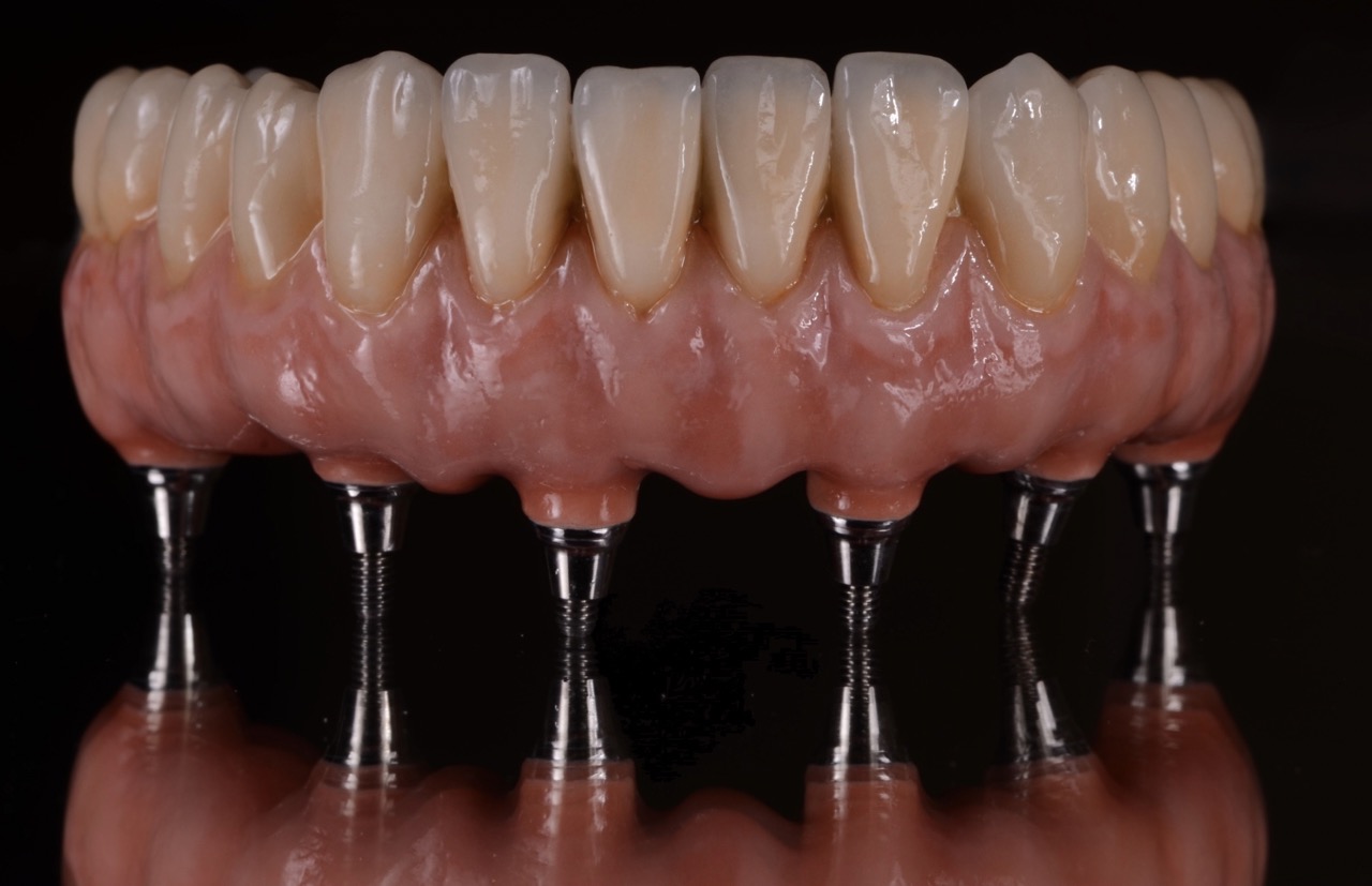
Zirkon + titan
Titanová konstrukce přímých dosedů na Multiunit Dio + zirkonová celoanatomická konstrukce s fasetovanou růžovou keramikou

Titan + zirkon na zuby
Fixní most + plášť ze zirkonu fasetovaný keramikou, zajímavé řešeni pro dosažení maximální estetiky a velkém přemostění pilířů

Pmma + titan
Branemark titanová konstrukce a plášť z pmma multi + fasetovaná kompozitní gingiva

Hybridní náhrada
Hybridní náhrada z titanu, třmen zajišťující stabilitu doplněný o locatory, pro zajištění optimální frikce, použity kompozitní zuby

Branemark titan + pmma
Branemark titan + pmma zuby a vymazlená gingiva z kompozitu

Titan + kompozitní zuby
Titanová konstrukce a prefabrikované kompozitní zuby vynikající estetika, doplněná o individualizovanou kompozitní gingivu
Design
Proto aby moje práce mohly být dokonalé nejen esteicky ale především konstrukčně, veškeré práce si designuju v EXOCad sám. Tady pár mých prací na ukázku
Tuto část ještě musím pořádně dodělat 🙂

Branemark Titan Zirkon
Lorem ipsum dolor sit amet, consectetuer adipiscing elit. Aliquam ante. Vivamus luctus egestas leo.

Branemark Titan Zirkon
Lorem ipsum dolor sit amet, consectetuer adipiscing elit. Aliquam ante. Vivamus luctus egestas leo.

Branemark Titan Zirkon
Lorem ipsum dolor sit amet, consectetuer adipiscing elit. Aliquam ante. Vivamus luctus egestas leo.

Branemark Titan Zirkon
Lorem ipsum dolor sit amet, consectetuer adipiscing elit. Aliquam ante. Vivamus luctus egestas leo.

Branemark Titan Zirkon
Lorem ipsum dolor sit amet, consectetuer adipiscing elit. Aliquam ante. Vivamus luctus egestas leo.

Branemark Titan Zirkon
Lorem ipsum dolor sit amet, consectetuer adipiscing elit. Aliquam ante. Vivamus luctus egestas leo.



























